Labial Orthodontics
表側矯正
目立ちにくい矯正装置で、自然な笑顔を
表側矯正の特徴
歯の色に馴染む審美装置
表側矯正は、歯の表面にセラミックまたはプラスチック製の審美矯正装置を装着して歯並びを整える治療法です。従来の金属製ブラケットと違い、歯と同じような色合いを実現。矯正治療中でも目立ちにくいのが特徴です。
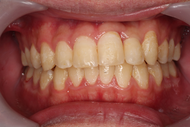
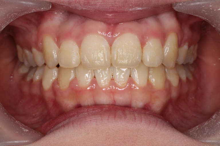
症例
Before
After
| 主訴 | 咬み込みが深く、前歯の位置や犬歯の向きが気になる |
|---|---|
| 治療期間 | 1年11ヶ月 |
| 治療費用 | 基本料金:540,000円 調整料:5,500円×24回 |
| リスク | 咬み込みの改善が必ずしも100%成功するとは限らず、骨格や筋肉の関係によって治療効果が十分に得られない場合がある |
Before
After
| 主訴 | 上顎の叢生(歯並びの乱れ)が強く、歯を抜かずに治療したい |
|---|---|
| 治療期間 | 2年4ヶ月 |
| 治療費用 | 基本料金:540,000円 調整料:5,500円×27回 |
| リスク | 治療法で抜歯ケースなのか非抜歯ケースなのかの選択こそ難しいものです。無理して非抜歯を選択してしまうとエステティックラインが悪くなるリスクがあります。 |
装置の進化による快適な治療
長年の技術革新がもたらす成果
表側矯正装置は、年々進化を続けています。従来の金属装置から、セラミック素材の開発、接着技術の向上により、より自然で快適な治療が可能になりました。装置の設計改良と素材の進化により、装着感が向上。さらに、白いワイヤーの採用で、正面からはほとんど目立たない仕上がりを実現しています。
進化し続ける装置の特徴
装置の接着力向上
新しい接着技術により、装置が外れにくく、治療効果も安定。歯への負担も少なくなっています。
装置の強度アップ
セラミックの強度が向上し、治療中の破損リスクが低下。安心して日常生活を送れます。
装置の小型化
従来より小さな装置で、同等の治療効果。違和感が少なく、見た目も自然です。
審美性の進化
より透明感のある素材で、歯の色に溶け込むように。光の反射も抑え、自然な印象を保ちます。
治療によって実現できること
より自然な口元へ
表側矯正では、歯並びを整えるだけでなく、口元の印象も大きく改善します。前歯の傾きを理想的な角度に整えることで、横顔も美しくなります。また、歯並びが整うことで、歯磨きもしやすくなり、歯の健康維持にも効果的です。
噛み合わせの改善
食事もスムーズに
歯並びが整うことで、噛み合わせも改善。食事がしやすくなるだけでなく、発音も明瞭になります。噛み合わせの改善により、身体の不調が緩和される可能性があります。
治療の流れと期間
丁寧な準備で確実な治療を
初回カウンセリング
まずは詳しい検査で状態を確認
レントゲン撮影や口腔内の検査を行い、最適な治療計画を立案します。装置の種類や治療期間、費用についても詳しくご説明いたします。
装置の装着
慎重な装着で確実な治療効果
白い装置の特性を考慮し、慎重に装着を行います。装着後は、装置特有のケア方法や注意点をご説明いたします。
定期的な調整
4週間ごとの丁寧な調整
約4週間ごとの調整で、着実に理想の歯並びへと近づけていきます。調整時には、装置の状態チェックや口腔内の清掃も行います。
治療期間の目安
状態に応じた適切な期間
状態により個人差がありますが、通常1〜2年程度の治療期間が必要です。軽度な歯列の乱れは約1年、中程度は約1年半、複雑な症例では約2年の治療期間が必要です。
治療中の生活サポート
快適な矯正生活のために
朝のケア
丁寧な歯磨きから始める一日
起床時は特に丁寧な歯磨きが重要です。装置の周りや歯の間も専用ブラシでしっかりと清掃します。
昼のケア
外出先でも簡単ケア
携帯用の歯ブラシセットをご用意いただくと安心です。外出先でも手軽にケアができる方法をご紹介いたします。
夜のケア
念入りなケアで健康な歯を守る
就寝前は特に時間をかけて丁寧にケア。歯間ブラシやデンタルフロスも使用し、装置の周りもしっかり清掃します。
季節ごとの注意点
快適に過ごすためのポイント
春・夜の花粉症対策
マスク着用時の装置ケア方法や、花粉症の症状がある時の注意点をアドバイスいたします。
夏・冷たい飲み物の刺激
冷たい飲み物による知覚過敏を防ぐコツや、夏場特有の装置のケア方法をご説明します。
秋・食欲の秋の注意点
旬の食材を楽しむコツや、硬い食べ物への対処法をお伝えします。
冬・乾燥対策
乾燥から口腔内を守る方法や、うがい薬の選び方などをアドバイスいたします。
装置のメンテナンス
美しさを保つために
着色予防のポイント
日々のケアで美しく
着色の原因となる食べ物や飲み物を知り、適切な対処法で装置の美しさを保ちます。
トラブル予防法
早めの対応で安心
装置のトラブルを防ぐコツや、違和感が出た時の対処法をご説明します。
料金について
当院では、患者様の経済的負担を考慮し、明確な料金体系を設定しております。
基本料金に含まれるもの
- 白い矯正装置一式
- リテーナー(治療終了後の保定装置)
- ミニスクリュー(効果的に歯を動かすための小さなスクリュー)
- 矯正のための便宜抜歯
- その他必要な処置全て
学生向け |
基本料金540,000円(税込) |
|---|---|
成人向け |
基本料金684,000円(税込) |
※治療前の検査費用(33,000円・税込)と月々の調整料(5,500円・税込)は別途必要です
※分割払いの金利・手数料はかかりません
充実した設備で安心の治療を
当院では、最新のCT設備を導入し、より精密な診断と治療計画の立案が可能です。
最新CT設備による安全な治療
より詳細な診断情報が得られ、安全で効果的な治療を実現します。座位での撮影により負担が少なく、鮮明な画像でわかりやすい説明が可能です。また、治療前後の状態を詳しく確認できるため、より確実な治療効果が期待できます。
矯正担当医
■経歴
- 昭和53年 開成高校卒業
- 昭和53年 慶應義塾大学入学
- 昭和61年 岡山大学歯学部卒業
- 昭和61年 慶応義塾大学病院勤務
Information
院内案内
| 月 | 火 | 水 | 木 | 金 | 土 | 日 | |
|---|---|---|---|---|---|---|---|
| 10:00~13:00 | ● | ● | ● | ● | |||
| 15:00~20:00 | ● | ● | ● | ● | |||
| 09:00~13:00 | ● | ● | |||||
| 14:00~18:00 | ● | ● |
※月曜日が祝日の場合は休診します
-
医療法人社団 健佑会
-
昭和通り歯科
東京都江戸川区南小岩7-31-13
パロス南小岩1階
TEL.03-3671-8008 -
ケン歯科・矯正歯科
〒272-0143 千葉県市川市相之川4-17メトロ東西線南行徳駅1F
TEL.047-397-1181 -
ゆうゆう歯科
千葉県市川市
市川南3-1-1
TEL.047-326-7780 -
ゆう歯科クリニック
埼玉県さいたま市緑区東浦和2-51-26
サミットストア東浦和店内
TEL.048-810-5733 -
K スマイル歯科
千葉県松戸市日暮1-3-1
及川ビル2F
TEL:047-387-1182
